Hepatotoxicidad asociada al estrés oxidativo inducida por ipconazol en ratas
DOI:
https://doi.org/10.51252/revza.v6i1.1584Palabras clave:
daño hepático, fármaco, químicos agrícolas, roedoresResumen
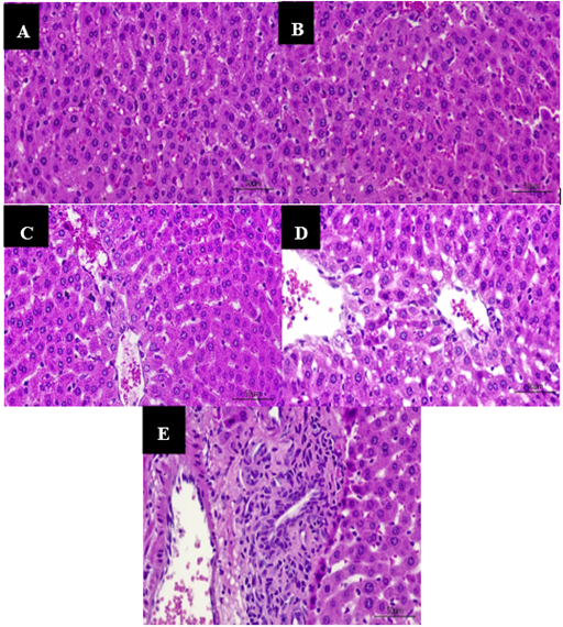
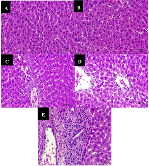
El ipconazol posee actividad fungicida. El uso indiscriminado o la exposición ocupacional a productos químicos agrícolas pueden provocar efectos adversos para la salud humana. En este estudio se investigó el daño hepático de ratas Wistar tratadas con ipconazol. Las ratas fueron distribuidas aleatoriamente en cuatro grupos de tres especímenes cada uno; al primer grupo se le administró una única dosis subcutánea de ipconazol (20 mg/kg) para inducir toxicidad hepática aguda en ratas albinas hembras. El segundo, tercer y cuarto grupo fueron tratados por vía intraperitoneal con una dosis única de ipconazol 10 mg/kg, 5 mg/kg y 1 mg/kg, respectivamente. El quinto grupo fue considerado como control y se trató únicamente con el vehículo (solución de Tween-80 al 5 % en solución salina). Se evaluaron enzimas marcadoras séricas de disfunción hepática, ensayo de peroxidación lipídica (malondialdehído, MDA) y se realizó un estudio histopatológico del hígado. Se concluye que el ipconazol produce daño hepático oxidativo y estructural en la exposición aguda.
Descargas
Citas
Fang L., Liao X., Jia B., Shi L., Kang L., Zhou L., Kong W. Recent progress in immunosensors for pesticides. 2020; 164. Available from: https://doi.org/10.1016/j.bios.2020.112255
World Health Organization, United Nations Environment Programme. Public health impact of pesticides used in agriculture. Geneva: World Health Organization; 1990. Available from: https://iris.who.int/handle/10665/39772
Kaur R., Mavi GK, Raghav S., Khan I. Pesticides Classification and its Impact on Environment. Int. J. Curr. Microbiol. Appl. Sci. 2019; 8 (3):1889–1897. Available from: https://doi.org/10.20546/ijcmas.2019.803.224
Schwarzbacherová V, Šiviková K, Drážovská M, Dianovský J. Evaluation of DNA damage and cytotoxicity induced by triazole fungicide in cultured bovine lymphocytes. Caryologia. 2015;68(3):233-238. Available from: https://doi.org/10.1080/00087114.2015.1032613
Zhou J, Zhang J, Li F, Liu J. Triazole fungicide tebuconazole disrupts human placental trophoblast cell functions. J Hazard Mater. 2016;308:294-302. Available from: https://doi.org/10.1016/j.jhazmat.2016.01.055
Hodgson, E., Roe. R. M., Mailman, R. B., Chambers, J.E. Dictionary of Toxicology. London: Academic Press- Elsevier; 2015. Available from: https://doi.org/10.1016/C2013-0-12692-X
Andrew D, Sharon A. Hepatotoxicity. En; Hodgson E, editor. A Textbook of Modern Toxicology. 4th. ed. Hobokin: John Wiley & Sons, Inc, 2010. p. 277-303.
Amin A, Hamza AA. Oxidative stress mediates drug-induced hepatotoxicity in rats: a possible role of DNA fragmentation. Toxicology. 2005 Mar 30;208(3):367-75. Available from: https://doi.org/10.1016/j.tox.2004.11.039
Stokes WS. Reducing Unrelieved Pain and Distress in La-boratory Animals Using Humane Endpoints. ILAR Journal. 2000;41(2):59–61. Available from: https://doi.org/10.1093/ilar.41.2.59
Organización para la Cooperación y el Desarrollo Económicos (OCDE). Guía OCDE 407: Toxicidad Oral de Dosis Repetida durante 28 Días en Roedores. Available from: https://www.oecd.org/en/publications/test-no-407-repeated-dose-28-day-oral-toxicity-study-in-rodents_9789264070684-en.html
Mossa AT, Refaie AA, Ramadan A, Bouajila J. Amelioration of prallethrin-induced oxidative stress and hepatotoxicity in rat by the administration of Origanum majorana essential oil. Biomed Res Int. 2013; 2013:859085. Available from: https://doi.org/10.1155/2013/859085
National Research Council (US) Committee for the Update of the Guide for the Care and Use of Laboratory Animals. Guide for the Care and Use of Laboratory Animals. 8th edi-tion. Washington (DC): National Academies Press (US); 2011. Available from: Available from: https://www.ncbi.nlm.nih.gov/books/NBK54050/
Wallace AD, Meyer SA. Hepatotoxicity. En: Smart RC, Hodgson E, edithors. Molecular and Biochemical Toxicology. 4th ed. Hoboken: John Wiley & Sons, Inc.; 2008. p. 671- 92.
Villaorduña C, Mendoza-Carlos M, Chuyma M, Avilés J, Avalos-Diaz A, Lozano-Reategui R, et al. Ipconazole Induces Oxidative Stress, Cell Death, and Proinflammation in SH-SY5Y Cells. Toxics. 2023;11(7):566. Available from: https://doi.org/10.3390/toxics11070566
Ruiz-Yance I, Siguas J, Bardales B, Robles-Castañeda I, Cordova K, Ypushima A, et al. Potential Involvement of Oxidative Stress, Apoptosis and Proinflammation in Ipconazole-Induced Cytotoxicity in Human Endothelial-like Cells. Toxics. 2023;11(10):839. Available from: https://doi.org/10.3390/toxics11100839
Descargas
Publicado
Cómo citar
Número
Sección
Licencia
Derechos de autor 2026 Zuly Kely Zambrano-Inga, Luis Alberto Inostroza-Ruíz

Esta obra está bajo una licencia internacional Creative Commons Atribución 4.0.
Los autores retienen sus derechos:
a. Los autores retienen sus derechos de marca y patente, y tambien sobre cualquier proceso o procedimiento descrito en el artículo.
b. Los autores retienen el derecho de compartir, copiar, distribuir, ejecutar y comunicar públicamente el articulo publicado en la Revista de Veterinaria y Zootecnia Amazónica (REVZA) (por ejemplo, colocarlo en un repositorio institucional o publicarlo en un libro), con un reconocimiento de su publicación inicial en la REVZA.
c. Los autores retienen el derecho a hacer una posterior publicación de su trabajo, de utilizar el artículo o cualquier parte de aquel (por ejemplo: una compilación de sus trabajos, notas para conferencias, tesis, o para un libro), siempre que indiquen la fuente de publicación (autores del trabajo, revista, volumen, numero y fecha).



